听力师验配师联盟
Audiologists and Fitters Alliance(CAFA)
顽固性中耳炎-中篇
04
四、抗中性粒细胞胞浆抗体相关性中耳炎(ANCA相关性中耳炎)


ANCA相关小血管炎(ANCA-associated vasculitis,AAV)是一类累及全身多系统的自身免疫病,以小血管壁的炎症和纤维素样坏死为主要病理特征,免疫病理无或仅有少量免疫球蛋白或补体成分在病变处沉积


针对该类病2012年临床类型重新分类为:1.显微镜下多血管炎(Microscopic Polyangiitis,MPA);2.肉芽肿性多血管炎(Granulomatosis with Polyangiitis GPA)取代Wegener肉芽肿(WG);3.嗜酸性肉芽肿多血管炎(Eosinophilic Granulomatosis Polyangiitis,EGPA)取代原Churg-Strauss 综合征(CSS);4.单一器官AAV。






部分ANCA相关血管炎患者以耳科疾病为首发症状,称ANCA相关性中耳炎(Otitis Media with ANCA-associated Vasculitis,OMAAV),特别以MPA及GPA患者多见。OMAAV多以耳闷胀,听力下降为首发症状,同时或随即伴有耳痛,病情进一步发展可出现周围性面瘫、发热等症状。专科查体则发现鼓膜肿胀,增厚、充血。颞骨CT检查均为中耳乳突炎改变,但无明显骨质破坏。纯音听阈检查则多为混合性耳聋,甚至为极重度感音神经性耳聋,鼓室图则多反映鼓室内负压。



640.webp

图4  以耳部症状为首发症状的肉芽肿性多血管炎(Wegener肉芽肿)辅助检查图。颞骨CT显示中耳乳突炎,无明显骨质破坏(A);眼眶CT眼周软组织增生(B);胸部CT可见斑片影和空洞性病变(C);双耳听力以重度感音神经性听力下降为主(D);右上眼睑慢性化脓性炎,灶状组织增生和上皮样细胞增生,个别小血管壁可见中性粒细胞浸润(E)。



从临床表现分析发现OMAAV在疾病的早期,耳鼻喉科医生易误诊为分泌性中耳炎,但若临床症状进行性加重,治疗效果差,单纯的分泌性中耳炎无法解释时,特别是出现耳痛、面瘫、持续发热时应想到OMAAV可能,并行相应的实验室检查,以便尽早诊断此病。


ANCA相关小血管炎的诊断需要综合患者的临床表现、病理学结果和ANCA检测结果。ANCA相关血管炎通常表现为白细胞、C反应蛋白(CRP)、红细胞沉降率增高。ANCA对于诊断的敏感性和特异性均超过90%。但ANCA出现阳性时间多在出现发热2-3周后,不及白细胞、CRP、红细胞沉降率等指标反应出现快,因此在ANCA相关小血管炎疾病早期,ANCA检测阴性并不能排除ANCA相关小血管炎,伴随疾病进展或内脏受累后,ANCA阳性率会进一步上升。ANCA可分为胞质型(c-ANCA)及核周型(p-ANCA),c-ANCA的主要靶抗原是PR3,p-ANCA的主要靶抗原是MPO。临床上需分析患者的临床表现、发病部位及受累器官,结合p-ANCA,c-ANCA,PR3,MPO免疫学检查结果,才能鉴别ANCA相关小血管炎的MPA,GPA和EGPA 3种分型。病理活检结果通常发现节段性小血管壁炎症、纤维素样坏死,病变区无或很少有免疫复合物沉积。


治疗

治疗选择单纯激素治疗或激素+免疫抑制剂治疗,多数可以缓解或控制患者病情。手术刺激是该病急性发病或加重的导火索,因此早期发现尽量避免各种手术或有创操作是扼制疾病恶化的关键。

05
五、真菌性中耳炎(Mycotic otitis media)


真菌性中耳炎(mycotic otitis media)临床并不少见,常与抗菌素滥用有关。主要症状为听力下降、耳溢液、耳痒(尤其夜间时明显)、耳鸣等;耳部检查时,外耳道皮肤常有真菌改变,可见鼓膜穿孔,穿孔边缘或鼓室内有肉芽生长,深部有浆液性或浆液脓性分泌物。对抗细菌感染治疗无效,个别可广泛破坏骨壁,引起颅内并发症。本病的诊断应依据真菌培养和病检结果。真菌性鼓膜炎的治疗基本同真菌性外耳道炎。中耳真菌感染除局部治疗外,部分患者尚需全身应用抗真菌药物,如酮康唑、斯皮仁诺或两性霉素B等治疗。抗真菌药物的肝脏损害副作用大,用药时注意检测肝功能,肝功能损害的患者慎用。

  640.webp (1)

图5  真菌性中耳炎耳纤维内镜图。

06
六、结核性中耳炎(Tuberculosis otitis media)


结核性中耳乳突炎多继发于其他结核病变,主要是肺结核。但也可由腺样体结核或骨、关节结核及颈淋巴结核等播散所致。病原菌可循咽鼓管侵入中耳,或经血液循环或淋巴系统传入中耳及乳突。本病较多见于婴幼儿。初起时大多数患者常无自觉症状。以后,可突发耳内阻塞感或耳鸣,流脓、脓液稀薄、呈水样或乳白稍带黄色,并有臭味,无疼痛感。如为混合感染,可有红、肿、热、痛表现。听力下降出现较早,迅速加重,初为传导性聋,如病变侵及内耳则表现为混合性或感音神经性聋。鼓膜的典型病损为多发性穿孔,常迅速融合成为单个大穿孔,边缘可达鼓沟。鼓室黏膜苍白水肿,鼓室内可有大量粉红色或苍白色肉芽组织形成。如面神经管及迷路骨质有破坏,则出现面瘫及眩晕。乳突外侧骨壁破坏并向耳后穿破可形成多发性耳后瘘管。耳周淋巴结常肿大,无痛。颞骨CT显示乳突气房模糊,并有死骨形成。



与化脓性中耳炎,耳部肿瘤,颞骨组织细胞增多症等鉴别。治疗:一般治疗和抗结核治疗。 

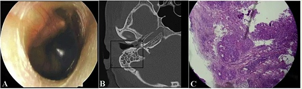
640.webp (2)

图6  以鼓室积液为首发表现的结核性中耳炎。耳纤维内镜检查显示中耳积液,鼓膜完整(A)。颞骨CT扫描显示乳突气房积液,中耳软组织影,无明显骨破坏(B)。组织学检查发现许多多核巨细胞和肉芽肿伴干酪样坏死组织(C),考虑结核性中耳炎。(引自 Phan Huu Ngoc Minh  Otolaryngology Case Reports,2020

返回
列表
上一条

顽固性中耳炎-下篇

下一条

顽固性中耳炎-上篇